என் மலர்
புதுக்கோட்டை
- புதுக்கோட்டை அருகே கோர விபத்து 2 பேர் பலி சிறுவர் உட்பட 3 பேர் படுகாயம்
- விபத்துக்குறித்து போலீசார் விசாரணை நடத்தி வருகின்றனர்.
புதுக்கோட்டை,
புதுக்கோட்டை அருகே நடந்த கோர விபத்தில் 2 பேர் உடல் நசுங்கி சம்பவ இடத்திலேய உயிரிழந்தனர். சிறுவர்கள் உட்பட 3 ே பர் படுகாயங்களுடன் மீட்கப்பட்டனர்,
மதுரையில் இருந்து இன்று காலை ஒரு தனியார் பேருந்து 30க்கும் மேற்பட்ட பயணிகளுடன் புதுக்கோ ட்டை நோக்கி வந்து கொண் டிருந்தது.
புதுக்கோட்டையில் இருந்து சிவகங்கை நோக்கி 5 பேருடன் கார் ஒன்று வந்து கொண்டிருந்தது. காரை சந்தோஷ் என்பவர் ஓட்டிவந்தார்.
புதுக்கோட்டை அருகே திருமயம் சாலை செபஸ்தியார் புரத்தில் வந்து கொண்டி ருந்த போது அந்த தனியார் பேருந்து கார் மீது மோதி ஏறியது. இதில் கார் அப்பளம் போல் நொறுங்கி விபத்துக்குள்ளானது.
இந்த விபத்தில் கார் டிரைவர் சந்தோஷ் உள்பட 2 பேர் உடல் நசுங்கி ரத்த ெவள்ளத்தில் அதே இடத்தில் உயிரிழந்தனர். மேலும் 2 குழந்தைகள் உட்பட 3 பேர் இடிபாடுகளில் சிக்கி உயிருக்கு போராடிக் கொண்டிருந்தனர்.
இதனை பார்த்த அப்பகுதி பொதுமக்கள் காவல்துறைக்கு தகவல் அளித்தனர். தகவலின் பேரில் விரைந்து வந்த காவல் துறையினர், பொதுமக்களின் உதவியுடன் உயிருக்கு போராடிக் கொண்டிருந்த சிறுவர்கள் உட்பட 3 பேரை மீட்டு அரசு மருத்துவமனைக்கு ஆம்புலன்ஸ் மூலம் அனுப்பிவைத்தனர்.
கார் மீது பஸ் சாய்ந்து கிடந்ததால் பயணிகள் சிலபேர் காயங்களுடன் கதறினர். அவர்களையும் மீட்டு மருத்துவமனைக்கு அனுப்பிவைத்தனர்.
கார் மீது ஏறிய பஸ்சை தீயணைப்பு துறை மற்றும் பொதுமக்கள் நீண்ட போராட்டத்திற்கு பின் அப்புறப்டுதினர்.
மேலும் இந்த இந்த விபத்துக்குறித்து போலீசார் விசாரணை நடத்தி வருகின்றனர்.
- சிதிலமடைந்த கட்டிடம் இடிப்பு: தற்காலிக பஸ் நிலையம் அமைக்கும் பணி தொடங்கியது
- பொக்லைன் எந்திரம் மூலம் நிலம் சமன் செய்யும் பணி கள் தொடங்க ப்பட்டுள்ளது.
புதுக்கோட்டை
புதுக்கோட்டை புதிய பேருந்து நிலையத்திற்கு நாள்தோறும் ஆயிரக்க ணக்கான பயணிகளும் பள்ளி கல்லூரி மாணவ மாணவிகளும் வந்து செல்கி ன்றனர்.
இந்த பேருந்து நிலைய த்தின் கட்டடங்கள் சிதல மடைந்து மேற்கூரைகள் கடந்த சில மாதங்களாக தொடர்ந்து இடிந்து விழுந்து வந்ததால் பொதுமக்களும் பயணிகளும் பெரும் அச்ச த்தோடு அந்த பேருந்து நிலையத்திற்கு வந்து செல்கின்றனர்.
இதற்கிடையே இந்த புதிய பேருந்து நிலையத்தில் காரைக்குடி பேருந்து நிற்கும் இடத்தில் உள்ள கடையின் முன்பு மேற்கூரை பெயர்ந்து விழுந்ததில் அங்கு நின்று கொண்டிருந்த தஞ்சையை சேர்ந்த முன்னாள் ஊராட்சி மன்ற தலைவர் பன்னீர்செ ல்வம் மற்றும் அவரது தாயார் வெள்ளையம்மாள் ஆகியோர் படுகாயமடைந்த னர்.
இதையடுத்து சிதிலமடை ந்துள்ள பேருந்து நிலைய கட்டங்களை அசம்பாவி தங்கள் ஏற்படுவதற்கு முன்பு இடித்து அப்புற ப்படுத்திவிட்டு புதிய கட்ட டம் கட்ட வேண்டும் என அனைத்து தரப்பினரும் கோரிக்கை விடுத்து வந்த னர்.
இந்நிலையில் சம்பவ இடத்தை நகராட்சி அதிகாரி கள் மற்றும் புதுக்கோட்டை எம்எல்ஏ முத்துராஜா ஆகி யோர் பார்வையிட்டு ஆய்வு செய்து உடனடியாக சிதல மடைந்த கட்டடத்தை இடி த்து அப்புறப்படுத்த நட வடிக்கை மேற்கொண்டனர்.
மேலும் புதிய பேருந்து நிலையம் அமைக்க ரூ.19 கோடி நிதி ஒதுக்கப்ப ட்டுள்ளது. இதையடுத்து தற்போது மேற்கூரை இடிந்த பகுதியில் உள்ள 15க்கும் மேற்பட்ட கடைகள் உடனடியாக அங்கிருந்து காலி செய்யப்பட்டு கட்டி டத்தை சுற்றி பாதுகாப்பி ற்காக பச்சைத் துணியால் தடுப்புகள் அமைத்து ஜேசிபி டிரில்லர் உள்ளிட்ட இயந்திரங்கள் கொண்டு இடிக்கும் பணி தொடங்கியு ள்ளது.
பேருந்து நிலைய கட்டடம் இடித்து அப்புறப்படுத்து வதால் அங்கு கடைகள் வைத்துள்ளவர்கள் வாழ்வாதாரம் இழக்கும் சூழல் ஏற்பட்டுள்ளது.
ஆகவே அவர்களுக்கு மாற்று வழியை ஏற்படுத்தி தர கோரிக்கை விடுக்க ப்பட்டுள்ளது.
அதை தொடர்ந்து எழில் நகரில் 6 ஏக்கர் இடத்தில் தற்காலிக பேருந்து நிலையம் அமைக்கும் பணி தொடங்க ப்பட்டுள்ளது. இதற்காக பொக்லைன் எந்திரம் மூலம் நிலம் சமன் செய்யும் பணி கள் தொடங்க ப்பட்டுள்ளது.
- அறந்தாங்கி அருகே10-ம் வகுப்பு மாணவி தூக்கிட்டு தற்கொலை
- காலாண்டு தேர்வில் குறைவான மதிப்பெண் எடுத்ததால் விபரீத முடிவு
அறந்தாங்கி,
புதுக்கோட்டை மாவட்டம் அறந்தாங்கி அருகே ஆதித்தன்பட்டி பகு தியை சேர்ந்தவர் முருகேசன் இவரது மகள் அனுஸ்ரீ (வயது15).
இவர் பிள்ளைவயல் அரசு உயர்நிலைப்பள்ளியில் 10- வகுப்பு பயின்று வந் தார். தந்தை முருகேசன் விபத்தில் உயிரிழந்ததை யடுத்து தாயின் அறவணை ப்பில் அனுஸ்ரீ வாழ்ந்து வந்துள்ளார்.
இந்நிலையில் சமீபத்தில் நடந்து முடிந்த காலாண்டு தேர்வில் கணித பாடத்தில் அனுஸ்ரீ குறைந்த மதி ப்பெண் பெற்றுள்ளதாகக் கூறப்படுகிறது.
இதனால் யாருடனும் ேபசாமல் சோகமாக காண ப்பட்ட மாணவியிடம், டியு சன் சென்டருக்கு சென்று படித்து அடுத்த பரீட்சையில் தேர்ச்சி பெற லாம் என அவரது தாய் ஆறுதல் கூறி யுள்ளனர்.
ஆனால் மாணவி தான் தேர்வில் தோல்வி அடை ந்ததை எண்ணி மன வே தனை அடைந்து வீட்டிற்குள் சென்று வீட்டின் உத்திரத்தில் தூக்கு மாட்டி தற்கொலை செய்து கொண்டார்.
தகவலறிந்து சம்பவ இடத்திற்கு விரைந்து வந்த ஆவுடையார்கோவில் காவல்த்துறையினர் மாணவியின் உடலை மீட்டு உடல் பிரேத பரிசோத னைக்காக அறந்தாங்கி அரசு மருத்துவமனைக்கு அனுப்பி வைத்து விசா ரணை நடத்தி வருகின்றனர்.
காலாண்டு தேர்வில் குறைந்த மதிப்பெண் எடுத்த 10-ம் வகுப்பு மாணவி மனமுடைந்து தற்கொலை செய்து கொண்டுள்ள சம்ப வம் அப்பகுதியில் பெரும் சோகத்தை ஏற்படுத்தி யுள்ளது.
- புதுக்கோட்டையில் இருந்து சிவகங்கை நோக்கி 5 பேருடன் கார் ஒன்று வந்து கொண்டிருந்தது.
- கார் மீது பஸ் சாய்ந்து கிடந்ததால் பயணிகள் சில பேர் காயங்களுடன் கதறினர்.
புதுக்கோட்டை:
மதுரையில் இருந்து இன்று காலை ஒரு தனியார் பேருந்து 30க்கும் மேற்பட்ட பயணிகளுடன் புதுக்கோட்டை நோக்கி வந்து கொண்டிருந்தது.
புதுக்கோட்டையில் இருந்து சிவகங்கை நோக்கி 5 பேருடன் கார் ஒன்று வந்து கொண்டிருந்தது. காரை சந்தோஷ் என்பவர் ஓட்டிவந்தார்.
புதுக்கோட்டை அருகே திருமயம் சாலை செபஸ்தியார் புரத்தில் வந்து கொண்டிருந்தபோது அந்த தனியார் பேருந்து கார் மீது மோதி ஏறியது. இதில் கார் அப்பளம் போல் நொறுங்கி விபத்துக்குள்ளானது.
இந்த விபத்தில் கார் டிரைவர் சந்தோஷ் உள்பட 2 பேர் உடல் நசுங்கி ரத்த வெள்ளத்தில் அதே இடத்தில் உயிரிழந்தனர். மேலும் 2 குழந்தைகள் உட்பட 3 பேர் இடிபாடுகளில் சிக்கி உயிருக்கு போராடிக் கொண்டிருந்தனர்.
இதனை பார்த்த அப்பகுதி பொதுமக்கள் காவல்துறைக்கு தகவல் அளித்தனர். தகவலின் பேரில் விரைந்து வந்த காவல் துறையினர், பொதுமக்களின் உதவியுடன் உயிருக்கு போராடிக் கொண்டிருந்த சிறுவர்கள் உட்பட 3 பேரை மீட்டு அரசு மருத்துவமனைக்கு ஆம்புலன்ஸ் மூலம் அனுப்பிவைத்தனர்.
கார் மீது பஸ் சாய்ந்து கிடந்ததால் பயணிகள் சிலபேர் காயங்களுடன் கதறினர். அவர்களையும் மீட்டு மருத்துவமனைக்கு அனுப்பிவைத்தனர்.
கார் மீது ஏறிய பஸ்சை தீயணைப்பு துறை மற்றும் பொதுமக்கள் நீண்ட போராட்டத்திற்கு பின் அப்புறப்படுத்தினர்.
மேலும் இந்த விபத்து குறித்து போலீசார் விசாரணை நடத்தி வருகின்றனர்.
- புதுக்கோட்டை அரசு முன்மாதிரிப்பள்ளியில் முன்னாள் மாணவர்கள் சந்திப்பு நிகழ்ச்சி
- வாழ்நாள் அனுபவங்களை பள்ளித் தோழர்களுடன் பகிர்ந்து கொண்டனர்
புதுக்கோட்டை
1974-77 ஆம் வருட முன்னாள் மாணவர்கள், குடும்பத்துடன் கலந்து கொண்ட 5-வது மகாசங்கமம், குடும்பவிழா இருநாட்கள் புதுக்கோட்டையில் நடைபெற்றது. மாநிலத்தின் வெவ்வெறு பகுதியிலிருந்தும், நாட்டின் வெளி மாநிலங்களில் இருந்தும் முன்னாள் மாணவர்கள் இந்த 35 பேர் நிகழ்ச்சியில் கலந்து கொண்டனர். அரசு பள்ளியில் படித்து, வெவ்வேறு அரசு, தனியார் மற்றும் பொதுதுறைகளில் பணியாற்றி, ஒய்வு பெற்ற பின் நடைபெறும் இந்த குடும்ப நிகழ்ச்சியில், தாங்கள் பள்ளியில்பயின்ற நாட்களின் நினைவுகள் மற்றும் தங்களுக்குள்ள வாழ்நாள் அனுபவங்களை பள்ளித் தோழர்களுடன் பகிர்ந்து கொண்டனர். திருமயம் கோட்டை, குடுமியான்மலை ஈஸ்வரன்கோவில், சித்தன்னவாசல் போன்ற வரலாற்று சிறப்புமிக்க இடங்களை நேரில் பார்வையிட்டு, வரலாற்று நிகழ்வுகளை தெரிந்து கொண்டனர். இந்த நிகழ்ச்சிக்கான ஏற்பாடுகளை, 1974-7-ம் வருட புதுக்கோட்டை முன்மாதிரிப் பள்ளி மாணவர்களான அக்ரிஎன்.சர்புதீன், டாக்டர்எம்.கல்யாணகுமார், வெங்கட கோபாலகிருஷ்ணன், கோவிந்தன் மற்றும் உத்தமன் முதலானோர் செய்திருந்தனர்.
- அறந்தாங்கி அருகே வேட்டணிவயல் தொடக்கப்பள்ளியில் காலை உணவுத் திட்டம் குறித்து வட்டார வளர்ச்சி அலுவலர் ஆய்வு
- வகுப்பறை கட்டிடத்தை பழுது நீக்கித் தரப்படும் என வட்டார வளர்ச்சி அலுவலர் உறுதியளித்திருந்தார்.
அறந்தாங்கி,
தமிழக அரசின் சார்பில் வழங்கப்படுகின்ற காலை உணவுத் திட்டம் முறையாக செயல்படுத்தப்படுகிறதா என கண்காணிக்க அந்தந்த துறை அதிகாரிகளுக்கு அறிவுறுத்தப்பட்டுள்ளது. அதனடிப்படையில் மணமேல்குடி தாலுகா வேட்டணிவயல் ஊராட்சி ஒன்றியத் தொடக்கப்பள்ளியில் வட்டார வளர்ச்சி அலுவலர் செந்தில்குமார் திடீர் ஆய்வு மேற்கொண்டார். ஆய்வில் சுகாதாரமான முறையில் உணவு தயார் செய்யப்படுகிறதா, குழந்தைகளுக்கு முறையாக உணவு வழங்கப்படுகிறதா என்று பரிசோதிக்கப்பட்டது. அதனை தொடர்ந்து வட்டார வளர்ச்சி அலுவலர், தலைமை ஆசிரியர் ஜெய்சங்கர், இடைநிலை ஆசிரியர் கலைமணி ஆகியோர் பள்ளிக்குழந்தைகளோடு அமர்ந்து உணவு உண்டனர். அப்போது ஒன்றியக்குழு தலைவர் பரிந்துரையின் பேரில் பழுதாகியுள்ள பள்ளி வகுப்பறை கட்டிடத்தை பழுது நீக்கித் தரப்படும் என வட்டார வளர்ச்சி அலுவலர் உறுதியளித்திருந்தார்.
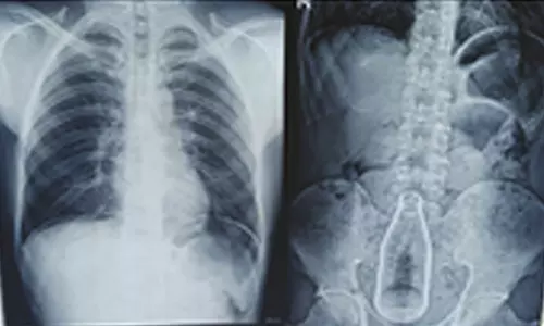
- எக்ஸ்ரே மற்றும் ஸ்கேன் எடுத்து பார்த்தபோது மாற்றுத்திறனாளி வயிற்றில் பாட்டில் இருப்பதை பார்த்து டாக்டர்கள் அதிர்ச்சி அடைந்தனர்.
- வயிற்றுக்குள் இருந்தது கண்ணாடியாலான குளிர்பான பாட்டில் என்பது தெரியவந்தது.
புதுக்கோட்டை:
புதுக்கோட்டை மாவட்டம், கீரனூரை சேர்ந்தவர் 45 வயதுடைய வாய் பேச முடியாத மாற்றுத்திறனாளி. இவர், தனது ஆசனவாயிலில் இருந்து ரத்தம் வருவதாக கூறி புதுக்கோட்டை அரசு மருத்துவக்கல்லூரி மருத்துவமனைக்கு சிகிச்சைக்காக சென்றுள்ளார். அப்போது அவரது நடவடிக்கை இயல்புக்கு மாறாக காணப்பட்டது.
அதைதொடர்ந்து டாக்டர்கள் மாற்றுத்திறனாளியை பரிசோதனை செய்தனர். மேலும் எக்ஸ்ரே மற்றும் ஸ்கேன் எடுத்து பார்த்தபோது மாற்றுத்திறனாளி வயிற்றில் பாட்டில் இருப்பதை பார்த்து டாக்டர்கள் அதிர்ச்சி அடைந்தனர். அவரது வயிற்றுக்குள் இருந்தது கண்ணாடியாலான குளிர்பான பாட்டில் என்பதும் தெரியவந்தது.
இதைத்தொடர்ந்து புதுக்கோட்டை மருத்துவக்கல்லூரி டீன் ராஜ்மோகன் ஆலோசனையின்படி, அறுவை சிகிச்சை நிபுணர் டாக்டர் நிர்மலாதேவி தலைமையில், டாக்டர்கள் குழு மாற்றுத்திறனாளியை முழு பரிசோதனை செய்து அவரது வயிற்றில் இருக்கும் பாட்டிலை எப்படி அகற்ற வேண்டும் என்பது குறித்து ஆலோசித்தனர்.
மேலும் அவரது உடலில் வேறு தொந்தரவு உள்ளதா என்பதையும் பரிசோதனை செய்தனர். பின்னர் அவருக்கு அறுவை சிகிச்சை செய்யப்பட்டது. சுமார் 2 மணிநேரம் நடந்த அறுவை சிகிச்சைக்கு பின் மாற்றுத்திறனாளி வயிற்றில் இருந்து பாட்டிலை வெளியே எடுத்தனர். மேலும் மாற்றுத்திறனாளி வயிற்றுக்குள் எப்படி பாட்டில் சென்றது என்பது குறித்து டாக்டர்கள் ஆய்வு செய்து வருகின்றனர். அறுவை சிகிச்சைக்கு பின்னர் அவர் நலமாக உள்ளதாக மருத்துவர்கள் தெரிவித்தனர்.
இதுகுறித்து புதுக்கோட்டை போலீசார் விசாரணை நடத்தினர். விசாரணையில், மாற்றுத்திறனாளி தனது ஆசனவாயிலில் அவரே பாட்டிலை சொருகிக் கொண்டதாக சைகையிலேயே போலீசாரிடம் தெரிவித்துள்ளார். இதைக்கேட்டு போலீசார் அதிர்ச்சி அடைந்தனர். அவர் சைகை மூலமாக காட்டியது உண்மையா? அல்லது வேறு ஏதும் காரணமா? எப்படி அவர் வயிற்றுக்குள் பாட்டில் சென்றது என்பது குறித்து போலீசார் தொடர்ந்து விசாரணை மேற்கொண்டு வருகின்றனர்.
- ஒரு நகராட்சியில் மக்களால் தேர்ந்தெடுக்கப்பட்டு மக்கள் பிரதிநிதியாக இருக்கும் நான் மக்கள் பணி செய்ய இயலாத காரணத்தால் பதவியில் நீடிப்பதில் மனம் ஒப்புக்கொள்ளவில்லை.
- ஆளுங்கட்சி நகராட்சி கவுன்சிலர் ஒருவர் அடிப்படை வசதிகளை நிறைவேற்ற கோரி ராஜினாமா மிரட்டல் விடுத்திருக்கும் சம்பவம் பெரும் பரபரப்பை ஏற்படுத்தியுள்ளது.
புதுக்கோட்டை:
புதுக்கோட்டை நகராட்சி 33-வது வார்டு தி.மு.க. கவுன்சிலர் ராஜேஸ்வரி ராஜேந்திரன் சமூக வலைதளத்தில் ஒரு பதிவை வெளியிட்டுள்ளார். அதில் அவர் கூறியிருப்பதாவது,
எனது வார்டுக்குட்பட்ட நகர் உசிலங்குளம் அய்யனார் நகர் மூன்றாம் வீதி சாலை குண்டும், குழியுமாக உள்ளது.
ஏற்கனவே இங்கு நகராட்சி சார்பில் தார் சாலை போட ஆரம்பித்து கைவிடப்பட்டது. நகராட்சி நிர்வாகம் தார் சாலை அமைக்குமா? என்று பொதுமக்கள் என்னை தினசரி கேள்வி கேட்கிறார்கள்.
அதேபோல் எனது வார்டு பகுதியில் மின்விளக்குகள் பழுது பார்க்க போன் செய்தால் வருகிறேன் என்று சொல்கிறார்கள் ஆனால் வருவதில்லை. நகராட்சி அதிகாரிகள் போனை எடுப்பதில்லை. துப்புரவு தொழிலாளர்களும் சரி வர வருவதில்லை.
ஒரு நகராட்சியில் மக்களால் தேர்ந்தெடுக்கப்பட்டு மக்கள் பிரதிநிதியாக இருக்கும் நான் மக்கள் பணி செய்ய இயலாத காரணத்தால் இந்த பதவியில் நீடிப்பதில் மனம் ஒப்புக்கொள்ளவில்லை.
எனக்கு மக்கள் பணி செய்ய ஆர்வம் இருந்தும் எந்த ஒரு நிர்வாகமும் ஒத்துழைப்பு தராத காரணத்தால் இன்னும் ஒரு வாரத்திற்குள் எனது வார்டு பகுதியில் ஏற்கனவே கொடுத்த கோரிக்கை மனுக்களுக்கு நடவடிக்கை எடுக்கவில்லை என்றால் நகராட்சி ஆணையரிடம் ராஜினாமா கடிதம் கொடுப்பது என முடிவு செய்துவிட்டேன்.
இவ்வாறு அதில் பதிவிட்டுள்ளார்.
இது சமூக வலைதளங்களில் வைரலாகி வருகிறது.
ஆளுங்கட்சி நகராட்சி கவுன்சிலர் ஒருவர் அடிப்படை வசதிகளை நிறைவேற்ற கோரி ராஜினாமா மிரட்டல் விடுத்திருக்கும் சம்பவம் பெரும் பரபரப்பை ஏற்படுத்தியுள்ளது.
- நாளை (வெள்ளிக்கிழமை) கடையை அகற்ற கோரி ஆர்ப்பாட்டம் நடத்துவது என முடிவு செய்யப்பட்டது.
- ஒரே ஊரில் மதுபான கடை வேண்டும் என்று மது பிரியர்களும், வேண்டாம் என்று அரசியல் கட்சியினரும் போராட்டம் அறிவித்திருப்பது பரபரப்பை ஏற்படுத்தி உள்ளது.
ஆலங்குடி:
புதுக்கோட்டை மாவட்டம் ஆலங்குடி அருகே உள்ள கொத்தமங்கலம் ஊராட்சியில் இயங்கிவந்த 2 அரசு டாஸ்மாக் மதுபான கடைகள் பொதுமக்களின் போராட்டம் காரணமாக கடந்த 6 ஆண்டுகளுக்கு முன்பு அகற்றப்பட்டது.
அதன் பிறகு இங்கு மதுக்கடைகள் இல்லாமல் இருந்த நிலையில் கடந்த வாரத்தில், கொத்தமங்கலத்தில் மீண்டும் மதுபானக்கடை திறக்கப்பட்டது.
இதையடுத்து அந்த கடையை அகற்ற கோரி அ.தி.மு.க. தலைமையில் ஆலோசனை கூட்டம் நடந்தது. இதில் பாஜக உள்ளிட்ட அரசியல் கட்சி நிர்வாகிகள் பங்கேற்றனர்.
பின்னர் நாளை (வெள்ளிக்கிழமை) கடையை அகற்ற கோரி ஆர்ப்பாட்டம் நடத்துவது என முடிவு செய்யப்பட்டது.
இதனை அறிந்த 200க்கும் மேற்பட்ட அப்பகுதி வணிகர்கள், மதுபிரியர்கள் தனியாக ஒரு கூட்டத்தை நடத்தினர். அதில் மதுக்கடையை அகற்றக்கூடாது என தீர்மானம் நிறைவேற்றப்பட்டது.
மேலும் கடையை அகற்றக்கோரி அரசியல் கட்சியினர் போராட்டம் நடத்தினால், அவர்களை எதிர்த்து கடையை அகற்றக் கூடாது என வலியுறுத்தி அதே இடத்தில் அதிக நபர்களை திரட்டி எதிர் போராட்டம் நடத்த போவதாகவும் அறிவித்துள்ளனர்.
ஒரே ஊரில் மதுபான கடை வேண்டும் என்று மது பிரியர்களும், வேண்டாம் என்று அரசியல் கட்சியினரும் போராட்டம் அறிவித்திருப்பது பரபரப்பை ஏற்படுத்தி உள்ளது.
புதுக்கோட்டை,
புதுக்கோட்டை மாவட்டம் திருவரங்குளம் ஊராட்சி ஒன்றியப் பகுதிகளில் சுற்றுச்சூழல் மற்றும் காலநிலை மாற்றத்துறை அமைச்சர் மெய்யநாதன் பல்வேறு பணிகளை தொடங்கி வைத்து மாணவ-மாணவிகளுக்கு விலையில்லா சைக்கிள்களை வழங்கினார். பின்னர் அமைச்சர் மெய்யநாதன்தெரிவித்ததாவது,
தமிழ்நாடு முதலமைச்சர் ஏழை எளிய பொதுமக்கள் பொருளாதாரத்தில் முன்னேற்றம் அடைய வேண்டும் என்ற உயர்ந்த நோக்கத்தில் கிராமப்புற பகுதிகளில் பல்வேறு வளர்ச்சித் திட்டப் பணிகளை செயல்படுத்தி வருகிறார்கள். அந்தவகையில் திருவரங்குளம் ஊராட்சி ஒன்றியப் பகுதிகளில் பல்வேறு பணிகள் தொடங்கி வைக்கப்பட்டது. அதன்படி திருவரங்குளம் ஊராட்சி ஒன்றியம் கத்தக்குறிச்சி ,வாண்டாக்கோட்டை மற்றும் வல்லத்திராக்கோட்டை பகுதிகளில் புதிய மின்மாற்றிகள் தொடங்கி வைக்கப்பட்டுள்ளது. இதன்மூலம் இப்பகுதிகளில் உள்ள குறைந்த மின்அழுத்தம் சரிசெய்யப்பட்டு வீட்டு மின்சாரம் விவசாயத்திற்கு தேவையான மின்சாரம் உள்ளிட்டவைகள் பூர்த்தி செய்யப்பட்டுள்ளது. மேலும் வல்லத்திராக்கோட்டையில் திரௌபதியம்மன் கோவில் முன் மண்டபம் மராமத்து பணியும் தொடங்கி வைக்கப்பட்டது. அதனை த்தொடர்ந்து வல்லத்திராக்கோட்டை அரசு மேல்நிலைப்பள்ளியைச் சேர்ந்த 65 மாணவர்களுக்கும் 86 மாணவிகளுக்கும் மற்றும் வேங்கிடகுளம் தூய வளனார் மேல்நிலைப்பள்ளியைச் சேர்ந்த 78 மாணவர்களுக்கும் 71 மாணவிகளுக்கும் என மொத்தம் 300 மாணவ மாணவிகளுக்கு விலையில்லா சைக்கிள்கள் வழங்கப்பட்டது. மேலும் பள்ளித்திவிடுதி ஊராட்சியில் அனைத்து கிராம அண்ணா மறுமலர்ச்சித் திட்டத்தின்கீழ் பணிகள் அடிக்கல்நாட்டி தொடங்கி வைக்கப்பட்டது.
இதன்மூலம் இப்பகுதி பொதுமக்களின் அடிப்படை தேவைகள் பூர்த்தி அடைவதுடன் வளர்ச்சி ஏற்படுவதற்கு வாய்ப்பாக அமையும். மேலும் சேந்தன்குடி பகுதியில் பகுதிநேர கால்நடை மருத்துவமனை திறந்து வைக்கப்பட்டது. இப்பகுதி கால்நடை வளர்ப்போர் தங்களது கால்நடை களுக்கான மருத்துவ வசதியினை வீடுகளுக்கு அருகாமையிலேயே பெற்றுக்கொள்ள முடியும். மேலும் கால்நடைகளுக்கான மருத்துவ சேவையினை பெற்று நோயில்லாமல் கால்நடைகளை வளர்த்து பயன்பெறலாம். எனவே பொதுமக்கள், மாணவ-மாணவிகள் அனைவரும் தமிழக அரசால் செயல்படுத்தப்படும் இதுபோன்ற பல்வேறு நலத்திட்டங்களை உரிய முறையில் பெற்று முன்னேற்றம் அடைய வேண்டும்.இவ்வாறு அவர் கூறினார்.இதில் மாவட்ட கல்வி அலுவலர் (அறந்தாங்கி) ராஜேஸ்வரி, திருவரங்குளம் ஒன்றியக்குழுத் தலைவர் வள்ளியம்மை தங்கமணி, வட்டாட்சியர் விஸ்வநாதன், வட்டார வளர்ச்சி அலுவலர் ஆயிஷாராணி, தலைமையாசிரியர்கள் உள்ளாட்சி அமைப்பு பிரதிநிதிகள் மற்றும் அரசு அலுவலர்கள் உள்பட பலர் கலந்து கொண்டனர்.
புதுக்கோட்டை
காந்தி ஜெயந்தி தினமான அக்டோபர் 2-ந் தேதியன்று காலை 11.00 மணிக்கு புதுக்கோட்டை மாவட்டத்திலுள்ள 497 கிராம ஊராட்சிகளிலும் கிராம சபைக் கூட்டம் நடைபெறவுள்ளது. இது குறித்து புதுக்கோட்டை கலெக்டர் மெர்சி ரம்யா வெளியிட்டுள்ள அறிக்கையில் கூறியிருப்பதாவது,
இக்கூட்டத்தில் கிராம ஊராட்சி நிர்வாகம், பொது நிதி செலவினம் மற்றும் திட்டப் பணிகள் குறித்து விவாதித்தல் , கிராம ஊராட்சியின் தணிக்கை அறிக்கை ஊரகப் பகுதிகளில் மழைநீர் சேகரிப்பு அமைப்புகள் ஏற்படுத்த எடுக்கப்பட வேண்டிய நடவடிக்கைகள், வடகிழக்கு பருவமழை முன்னெச்சரிக்கை நடவடிக்கைகள், கொசுக்கள் மூலம் பரவும் டெங்கு காய்ச்சல் தடுப்பு நடவடிக்கைகள் குறித்து விவாதித்தல், மகாத்மா காந்தி தேசிய ஊரக வேலை உறுதித் திட்டம், அனைத்து கிராம அண்ணா மறுமலர்ச்சி திட்டம், தூய்மை பாரத இயக்கம் (ஊரகம்) ,ஜல் ஜீவன் இயக்கம், பிரதம மந்திரி ஊரக குடியிருப்பு திட்டம், 2023-24-ஆம் ஆண்டிற்கான சமூக தணிக்கை செயல் திட்டத்தினை பொதுமக்களுக்கு அறிவித்தல், கிராம ஊராட்சியின் தணிக்கை அறிக்கை, மக்கள் திட்டமிடல் இயக்கம், காசநோய் இல்லா கிராம ஊராட்சியாக அறிவிப்பு செய்தல் மற்றும் இதர பொருட்கள் விவாதிக்கப்பட உள்ளன. மேற்குறிப்பிட்டுள்ள அரசின் திட்டங்கள் மற்றும் ஊராட்சியின் செயல்பாடுகள் பற்றிய விபரங்களை தெரிந்து கொண்டு பயன்பெறும் வகையில் பொதுமக்கள் மகளிர் சுய உதவிக் குழுக்களைச் சேர்ந்தவர்கள் மாற்றுத்திறனாளிகள் மற்றும் தன்னார்வ தொண்டு நிறுவனங்கள் என அனைவரும் அதிக அளவில் கலந்துகொண்டு கிராம சபை கூட்டத்தில் கலந்து கொள்ள வேண்டும். இவ்வாறு அவர் குறிப்பிட்டுள்ளார்.
- உடல் உறுப்பு தானம் செய்பவர்களின் குடும்பத்தில் ஒருவருக்கு அரசு வேலை வழங்க வேண்டும்முன்னாள் அமைச்சர் விஜயபாஸ்கர் பேட்டி
- தமிழகத்தில் சுகாதாரத்துறை செயல்படவில்லை
புதுக்கோட்டை
புதுக்கோட்டை மாவட்ட அ.தி.மு.க. அலுவலகத்தில் பூத் கமிட்டி நிர்வாகிகள் கூட்டம் நடைபெற்றது. இதில் முன்னாள் அமைச்சர் விஜயபாஸ்கர் எம்.எல்.ஏ. கலந்து கொண்டு பேசினார்.
இதில் தெற்கு மாவட்ட செயலாளர் வைரமுத்து, முன்னாள் எம்.எல்.ஏ. கார்த்திக் தொண்டைமான், பாசறை கருப்பையா, உட்பட பலர் கலந்து கொண்டனர்.பின்னர் டாக்டர் விஜய் பாஸ்கர் நிருபர்களுக்கு பேட்டி அளித்தார். அப்போது அவர் கூறியதாவது ;-
வருகிற நாடாளுமன்ற தேர்தல் மட்டுமல்ல எந்த தேர்தல் வந்தாலும் அதனை சந்திக்க அ.தி.மு.க. தயாராக உள்ளது. உடல் உறுப்பு தானம் செய்பவர்களுக்கு அரசு மரியாதை என்பது நல்ல விஷயம் என்றாலும் அவர்களது குடும்பத்தில் ஒருவருக்கு அரசு வேலை வழங்க வேண்டும் என்பது மக்களின் எதிர்பார்ப்பாக உள்ளது. தி.மு.க. ஆட்சியில் சுகாதாரத்துறை செயல்படாமல் திறனற்ற துறையாக, தலை இல்லாத துறையாக உள்ளது. இதனால் மக்களும், நோயாளிகளும் பெரும் பாதிப்புக்கு ஆளாகியுள்ளனர்.
எம்.ஆர்.பி. செவிலியர்கள் தொடர்ந்து சென்னையில் போராட்டம் நடத்தி வருகிறார்கள். அந்த செவிலியர்களுக்கு பணி கொடுக்க இந்த அரசுக்கு மனமில்லை 2 1/2 ஆண்டுகளில் மருத்துவர் உள்ளிட்ட எந்தவித மருத்துவ பணியிடங்களும் நிரப்பப்படவில்லை. அ.தி.மு.க. ஆட்சி காலத்தில் தமிழகத்தில் 2-வது பல் மருத்துவ கல்லூரியினை புதுக்கோட்டையில் தொடங்குவதற்கு நிதி ஒதுக்கீடு செய்யப்பட்டு பணிகள் தொடங்கப்பட்டது. ஆட்சி மாற்றத்தால் 2 1/2 ஆண்டு காலம் முடிந்த பிறகும் இதுவரை பல் மருத்துவக் கல்லூரி தொடங்குவதற்கு தாமதம் செய்து வருகிறார்கள். தமிழகத்தில் டெங்கு பாதிப்பு அதிகரித்து வருகிறது. அனைத்து துறைகளையும் ஒருங்கிணைத்து செயல்பட்டால் மட்டுமே டெங்குவை ஒழிக்க முடியும். வடகிழக்கு பருவமழை தொடங்குவதற்கு முன்பாகவே டெங்கு பாதிப்பு அதிகரித்து வருகிறது. இனியாவது அரசு விழித்துக் கொண்டு டெங்கு ஒழிப்பு பணிகளை முடுக்கி விட வேண்டும். இவ்வாறு அவர் கூறினார்.






